Kender du fordelene ved bulk fill materialer?
Inge Lundgaard, DDS, clinical specialist, 3M Oral Care
Publisert: 01.09.22
Bulk fill står for den gruppe af fyldningsmaterialer, der kan appliceres og hærdes i tykkere lag end det, der kendes fra almindelige kompositmaterialer. Der findes forskellige typer af bulk fill materialer:
![]() |
![]() |
|
| Bulk fill flowable: Materialer i denne gruppe er mere letfyldende og ved okklusale belastede fyldninger skal de dækkes af et lag på 2 mm almindelig komposit. 3M™ Filtek™ Bulk Fill Flowable hører til i denne gruppe. | ||
![]() |
![]() |
|
| Bulk Fill fyldningsmaterialer: Materialer i denne gruppe kan anvendes alene, dvs. uden flow i bunden og uden et toplag af konventionel komposit. De kan kombineres med et flowmateriale, hvis du ønsker det i den specifikke situation. 3M™ Filtek™ One Bulk Fill hører til i denne gruppe. | ||
Lagvis opbygning vs. bulk fill
Lagvis opbygning og fyldning med bulk fill teknik er begge egnede metoder til posteriore cases. Traditionelt er kompositter blevet opbygget lagvist for at reducere C-faktor stress eftersom hvert lag polymeriseres separat i stedet for at polymerisere alt på en gang. Dette kan dog være tidskrævende.
Fyldning med bulk fill materialer giver dig mulighed for at placere en større mængde komposit på én gang – dette sparer tid uden at øge postoperativ sensitivitet. 1
![]() |
![]() |
Det er undersøgt i dette studie
“Clinical time and postoperative sensitivity after use of bulk fill (syringe and capsule) vs. incremental filling composites: a randomized clinical trial”.
Et område hvor dette studie adskiller sig fra tidligere studier, er at det var det første til at evaluere hele den kliniske procedure og ikke kun selve appliceringen.
Konklusion: I dette studie fandt man at den gennemsnitlige tid, der blev anvendt til at opbygge en lagvist opbygget posterior klasse I eller klasse II restaurering (med selektiv emaljeætsning) var 28 minutter sammenlignet med 11 minutter ved anvendelse af et bulk fill fyldningsmateriale, 3M™ Filtek™ One Bulk Fill Fyldningsmateriale, dvs. en forkortelse af behandlingstiden på op til 17 minutter for en fyldning. Vigtigt er også at anvendelse af bulk fill ikke øger risikoen for eller intensiteten af sensitivitet sammenlignet med lagvist opbyggede fyldninger.2, 3

Ud over at være mere effektivt er den seneste generation af bulk fill fyldningsmateriale fra 3M også blevet mere opak og dermed mere æstetisk.
Anvendelse af en flowable som en liner under din restaurering kan have en række fordele bla. en forbedret marginal adaptation. Flowables kan udfylde uregelmæssigheder i bunden af en kavitet og give en mere jævn overflade til den efterfølgende fyldning.
Flowmaterialer er ikke ens, der kan være forskel på bl.a. flydegenskaber, mekaniske egenskaber og leveringssystem. Nogle sprøjtesystemer er designet til at eliminere bobler og til at forhindre, at materiale fortsætter med at løbe ud af sprøjten efter applicering.
Hvis et bulk fill flow flow materiale anvendes skal det okklusalt dækkes med 2 mm kompositfyldningsmateriale (fx 3M™ Filtek™ One fyldningsmateriale eller 3M™ Filtek™ Supreme XTE fyldningsmateriale)
![]() |
![]() |
|
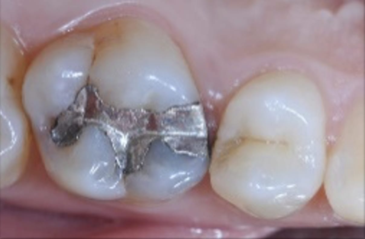
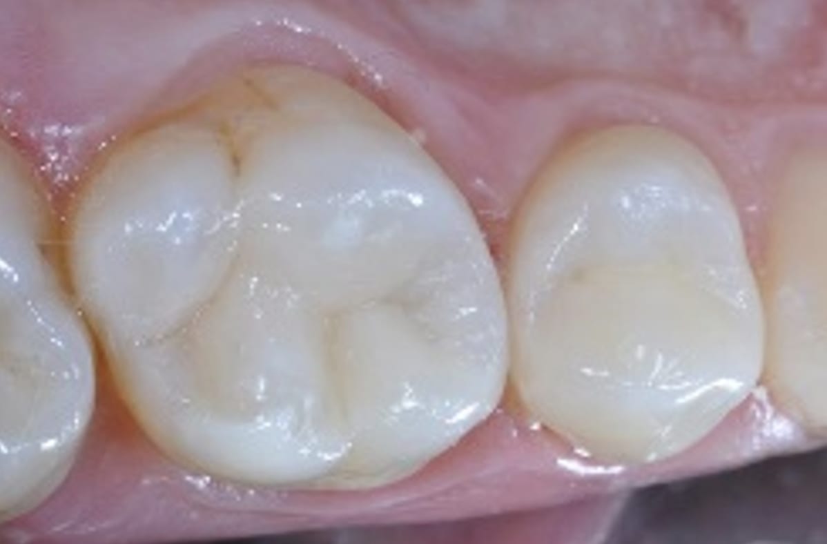
|
Før og efter foto. 3M™ Filtek™ One Bulk Fill Fyldningsmateriale. |
||
Kliniske tips ved anvendelse af bulk fill fyldningsmateriale

Polymeriseringsdybde: For at kunne polymerisere tilstrækkeligt godt anbefales det at måle dybden på præparationen for at sikre, at du kan overholde den anbefalede lagtykkelse. Det er muligt at polymerisere 3M™ Filtek™ One Bulk Fill fyldningsmateriale op til 4 mm ved en klasse I fyldning og op til 5 mm ved en klasse II fyldning. Hvis kaviteten er dybere end dette, bygges op i lag for at sikre en optimal polymerisering
Applicering: Ved at anvende 3M™ Filtek One i kapsler er det nemt at applicere på én gang og opnå en god adaptation. Start appliceringen i den dybeste del af præparationen, mens spidsen holdes tæt på præparationsfladen. Spidsen skal holdes nede i fyldningsmaterialet, undgå at løfte spidsen ud af materialet under fyldning for at reducere luftlommer.
Er du interesseret i mere information?
Har du fået lyst til at høre mere eller ønsker du at modtage en prøve på de nævnte materialer, så scan denne QR kode og kom i kontakt med 3M Oral Care.
Kilder: 1. White paper: Restoring conservatively with confidence. Dr. Marcos Vargas, 2. Barceleiro, M. (2019). Clinical time and postoperative sensitivity after use of bulk-fill (syringe and capsule) vs. incremental filling composites: a randomized clinical trial. Braz. Oral Res. 2019;33:e089. 3.Bulk Fill Time Savings – How Real Are They? 3M Dental Blog Brain Floss








