
Kusp for kusp
med G-ænial A’CHORD
En 22 år gammel pasient møtte med kortvarig ising i øvre venstre sidesegment. Ved undersøkelse ble det funnet alvorlig mineraliseringsforstyrrelse assosiert med Molar-Incisiv-Hypomineralisering (MIH) på tann 26.
Det ble avdekket en defekt komposittfylling på de palato-okklusale flatene, samt sekundærkaries (figur 1). Fyllingsterapi ble anbefalt, og pasienten samtykket til behandling.
Etter lokalbedøvelse og plassering av kofferdam, ble den eksisterende fyllingen forsiktig fjernet og kaviteten inspisert. Karies og MIH påvirket tannsubstans ble fjernet med hjelp av Caries Detector Dye (Kuraray) (figur 2). Dette ble gjort skånsomt for ikke ekskavere utover den såkalt “peripheral seal zone”(ref 1). Kaviteten ble behandlet med 37% fosforsyre (Ultradent), desensibiliserende middel (Gluma, Kulzer) etterfulgt av en 3 trinn ets-og-rens bondingsystem (Optibond FL, Kuraray).
Lettflytende høyt fillervolum kompositt (G-ænial Universal Injectable, GC) ble applisert på bunnen av kaviteten i 2 forskjellige tynne lag (figur 3).
Fig 1, 2 og 3.
G-ænial Achord ble deretter plassert kusp for kusp, i små inkrementer (fig 4-6).
Fig 4, 5 og 6.
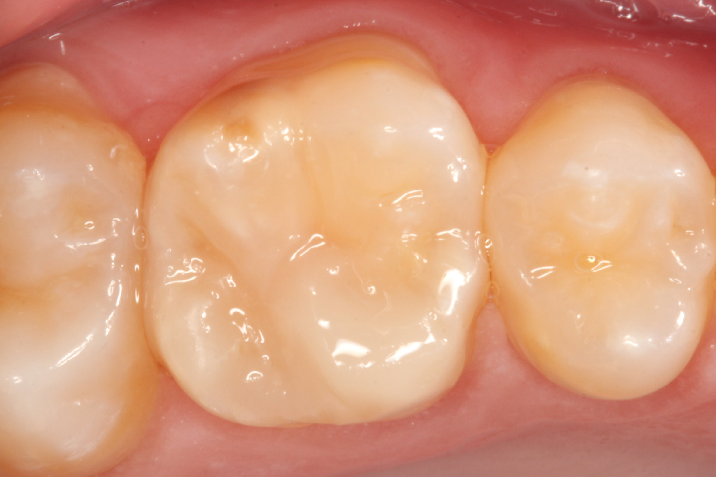
Okklusjon ble justert med hardmetallbor, og polert med en nylonbørste og pimpstein. Pasienten kom tilbake uken etter med ikkeeksisterende symptomer, og fyllingen fikk en siste polering med en geitehårbørste (fig 7).
Fig 7.
Hypersensitivitet, tap av tannsubstans og sekundærkaries er vanlige presentasjoner i MIH-affisierte tenner(ref 2). Fjerning av hypomineralisert tannsubstans, og bruk av gullstandard bondingsystem er viktig for å øke bindingsstyrke og for å unngå kantlekkasje og fraktur av fyllingen(ref 2). Natrium hypokloritt kan også brukes for å øke emalje bindingsstyrke men var ikke brukt i dette tilfelle på grunn av eksponert dentin (ref 2). Bruken av det nye komposittystemet G-ænial A´Chord kan lett gi et veldig estetisk fint resultat så vel som lett polering.
Referenser:
1. Alleman, D., & Magne, P. (2012). A systematic approach to deep caries removal end points: the peripheral seal concept in adhesive dentistry. Quintessence international, 43 3, 197-208 .
2. Almuallem, Z., & Busuttil-Naudi, A. (2018). Molar incisor hypomineralisation (MIH) – an overview. British Dental Journal, 225(7), 601-609. doi: 10.1038/sj.bdj.2018.814
Dr. William Yu
BDSc (Melb) MSc MPDC RCSEd
Oris Dental Stavanger
