EQUIA Forte er den nye generasjonen av glasionomer teknologi
Av Dr. Martin Hoftvedt, Oslo
Generelt velger tannleger å bruke glassionomer som fyllingsmateriale når det er vanskelig å oppnå tilstrekkelig tørrlegging, hvis fyllingen ikke utsettes for stor belastning under tygging eller hvis en optimal binding til dentinet til den preparerte tannen er ønsket. Glassionomerer er enkle å applisere (vanligvis i ett lag, «bulk»), herdes ganske raskt og er lette å polere etterpå. Påføring av en coating (f.eks. Equia Coat fra GC) forbedrer både glatthet og estetikk, men øker også slitasjemotstand og trykkfasthet.
Synergien mellom EQUIA Forte Fil og EQUIA Forte Coat gir et sterkt og overlegent bulk-fyllingsmateriale. Dette unike fyllingsmaterialet, for alle aldersgrupper, vil imponere på alle måter. Basert på den velkjente Fuji IX, som har en lang rekke med gode kliniske studier bak seg, gir EQUIA Forte deg et suverent alternativ til daglig bruk.
Glasshybrid
EQUIA Forte Fil er et hurtig herdende, estetisk materiale, med forbedrede fysiske egenskaper, som følge av en ny glasshybridteknologi. En ny ultrafin og svært reaktivt glassfiller er blandet med den tradisjonelle glassionomerfilleren for å akselerere og forbedre matrisedannels-en etter blanding. Denne innovative glasshybridteknologien øker ion tilgjengelighet og bygger dermed en mye sterkere matrisestruktur med forbedrede fysiske egenskaper, bedre slitasjemotstand og høyere fluoravgiv-else.
Sterk synergi
EQUIA Forte Coat virker som et tynt ytelsesbelegg hvor både gjennomskinnelighet og estetikk er forbedret. Med hjelp av en ny tverrbindende monomerkjemi og GCs patenterte enkeltspredende Nanofillerteknologi, kompletterer EQUIA Forte Coat din restaurering. EQUIA Forte coaten påføres med pensel og lysherdes i 20 sek. Denne høye abrasjonsresistente, selvherdende overflaten gir en glatt og forseglet overflate med markant styrke og høy slitestyrke.
Binder seg naturlig
Det er ikke behov for noen form for forbehandling eller bindemateriale. EQUIA Forte har en "innebygd" universal adhesiv teknologi. EQUIA Forte er fuktighetstolerant og binder like effektivt til alle overflater, uavhengig av alder på tennene. Fra ung emalje til sklerosert dentin ... Med EQUIA Forte trenger man ikke endre på sin prosedyre. GC Dentin Conditioner er anbefalt som forbehandling av dentin, etter standard protokoll.
Virkelig innovativ
EQUIA Forte er basert på den nyeste teknologien innen Minimal Invasiv tannbehandling. Ved å bruke høyteknolo-giske materialer, har man skapt EQUIA Forte – et virkelig nyskapende biomimetisk, fluorid frigjørende fyllingsmateriale, som er veldig rask og enkel å bruke. Basert på glassionomerteknologi, er EQUIA Forte pulpavennlig og kan brukes i dype kaviteter, i tilegg til å være særlig indisert ved selektiv kariesekskavering. Håndteringen er problemfri og avhenger verken av alder eller plasseringen av restaureringen. Preparer, ekskaver, bulk-fill, finish, coate, lysherd... noen få enkle trinn til et perfekt resultat.
Fig. 1 Bitewing pre-operativt
67 år gammel mannlig pasient. Dyp karies lesjon 37d og 38m. (Fig. 1) 37 behandles med en ny bro siden den gamle var slitt. 38 er et perfekt kasus for å behandle med den nye hybridglassionomeren Equia Forte fra GC, i stedet for en komposittfylling. Dette er begrunnet i den vanskelige posisjonen av kaviteten, hvor det er vanskelig å tørrlegge. Videre har denne pasienten en veldig stor og aktiv tunge, noe som vanskeliggjør behandlingen, og kofferdam går ikke å bruke på pasienten. 37 reneskaveres og det legges Fuji II LC fra GC i de dypeste kavitetene (brukt i henhold til forskriftene og lys herdet). Deretter prepareres det til ny bro. Det tas et konvensjonelt avtrykk og en 3-ledds bro blir fremstilt.
Fig. 2 Etter preparering
Distalt/okklusalt på 38 ses kroniske, inaktive karies, som står uberørt. Etter avsluttet ekskavering av 38 (figur 2), hvor allerede tidligere amalgam og karies er fjernet, påføres matrise. Det er benyttet et pre-konturert matrisebånd fra Top Dent i en klassisk Nyström matriseholder, samt en oransje trekile fra Kerr. Dette gir, i følge den nyere “golden standard ” (prekonturerte matrisebånd, gjerne også om plass med en separasjonsring), et optimalt kontaktpunkt og anbefales også av GC når man bruker Equia Forte for klasse II fyllinger.
Fig. 3 Etter applisering av EQUIA Forte
Etter matrisen og kilen er satt, gir sug og bomullsrull en tilstrekkelig fuktighetskontroll. Dentin Conditioner fra GC ble brukt, i henhold til bruksanvisningen, før tannen ble fylt med ett lag Equia Forte, i em bulk. Deretter presses det med en mikrobørste på fyllingen for å oppnå en god binding til dentinet. (Fig.3) Etter 2½ min. av initiell herdetid, fjernes matrisen forsiktig. Overflødig fyllingsmateriale poleres vekk og resten av fyllingen finpoleres med en rød pussediamant og Sof-Lex-skiver.
Fig. 4 Etter polering og EQUIA coat
Som en siste finish legges et tynt lag Equia Coat på fyllingsoverflaten, i henhold til bruksanvisningen, og lysherdes i 20 sekunder. Dette gjør fyllingen mer slitesterk, samt gir også samtidig mer glatthet og estetikk til fyllingen. (Fig.4) Kontaktpunktet mot 37 kontrolleres med tanntråd, med et godt resultat.
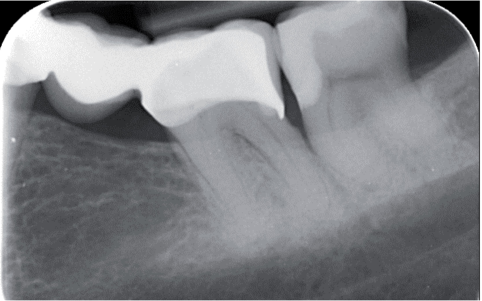
Fig. 5 Bitewing etter behandlingen
Fyllingsprosedyren var enkel og røntgen viser i etterkant en virkelig god form og adaptasjon. (Fig.5) Fyllingen kan se meget lys ut på bildene, men passer fint i fargen til den nysementerte broen.
Fig. 6 Bitewings etter 19mnd / Fig. 7. 19 mnd kontroll
Kontroll etter 19 måneder, legg merke til den gode røntgenkontrasten og kontaktpunktet er fortsatt optimalt, og fargen passer fint inn i omgivelsene. (Fig. 6 og Fig.7)
2021 - Oppfølging etter 6 år - Klinisk testet
EQUIA Forte er bygget på de imponerende kliniske resultatene til Fuji IX GP og er et pålitelig alternativ til restaurering av posteriore tenner. Med denne nye glasshybrid teknologien, utvider EQUIA Forte anbefalingene i bruk av glassionomer i Kl. II prepareringer (uten cusp-involvering).
Tannlege Martin Hoftvedt, MNTF, klinikkeier Fjord Dental og klinisk lærer ved UiO
