Estetisk behandling med kompositt av anterior traume
Av Tannlege Christoffer Bjelland, Bergen
Eier, Tannlege Bjelland & Co Institutt for klinisk odontologi, UiB - seksjon for endodonti
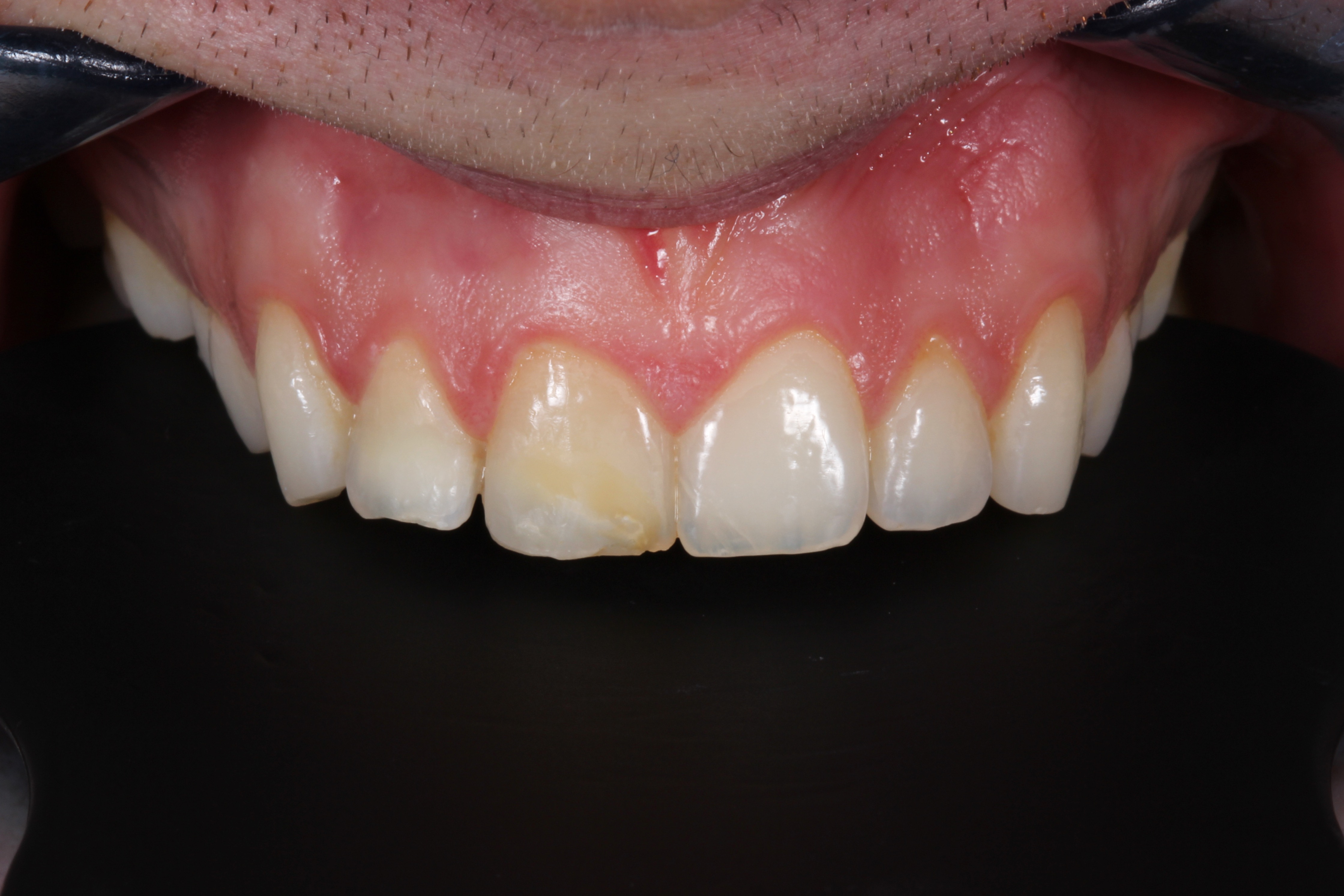
En 24 år gammel pasient med ønske om å restaurere tenner etter å ha blitt utsatt for traume (fig.1). Tann 12 hadde komplisert emalje-dentinfraktur under gingivalnivå palatinalt. 11 hadde ukomplisert emalje-dentinfraktur. Pasienten hadde fått midlertidig behandling på tannlegevakten bestående av rebonding av frakturert tannfragment på tann 12 og komposittoppbygging på tann 11. Tann 21 hadde infraksjonslinjer, men pasienten var ikke skjemmet av dette (fig. 2). Sensibilitetstest ble utført med elektrisk pulpatester, med negativ respons på 12, og positiv respons på øvrige tenner. Ingen tenner var perkusjons- eller palpasjonsømme. Direkte versus indirekte teknikk ble diskutert med pasienten, men konserverende behandling ble anbefalt for tann 11. Grunnet manglende sensitivitet og subgingival fraktur av tann 12 ble det anbefalt endodontisk behanlding med påfølgende fiberstift og krone. Pasienten samtykket til behandlingsplanen.
Fig. 1
Fig. 2
Fig. 3
Mørk bakgrunn fra munnhulen kan ofte føre til et grålige utseende ved anteriore restaurering. Dette kan unngås ved å kombinere emalje og dentinfargede kompositter. Disse komposittene som mål å kopiere tannens forskjellige translusens. Ved riktig bruk kan man ved hjelp av sjikt teknikk gjenskape en tanns indre og ytre anatomi, og gi et resultat med et naturlig utseende. Teknikken er lik uavhengig av hvilken kompositt som benyttes, men det anbefales å lage en egen fargeskala bestående av komposittene man benytter på klinikken.
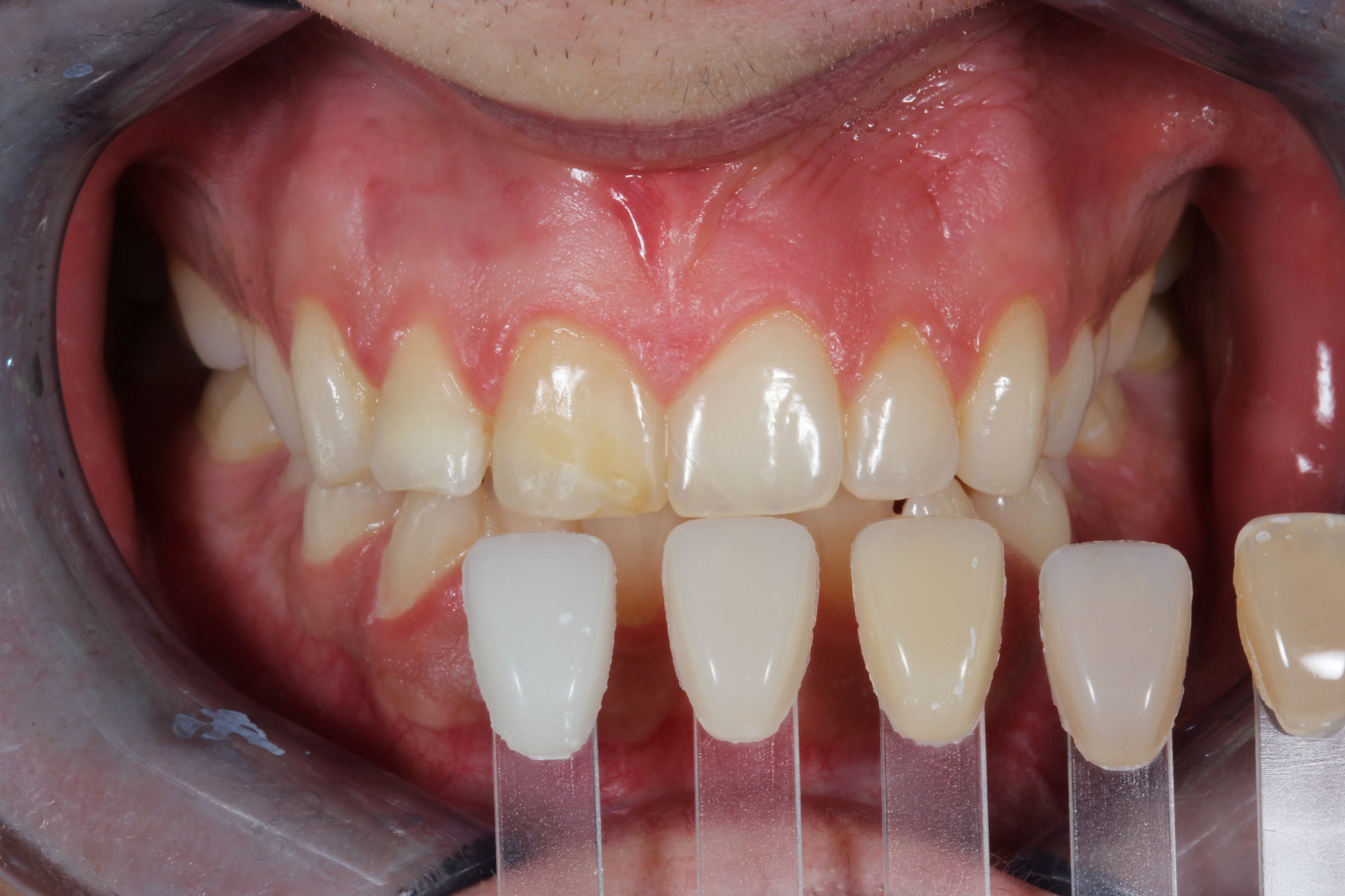
Grunnet fare for dehydrering ble fargeuttak tatt med egenprodusert fargeskala før behandlingsstart (fig. 3).
Deretter ble det laget en putty-stent i A-silikon for å kunne gjenskape palatinale og incisale form. Etter lokalbedøvelse og plassering av kofferdam ble den eksister- ende fyllingen fjernet. Det ble preparert forsiktig i emaljen buccalt for å få nok plass til å kunne lage en komposittfasade. Dette for å maskere tannens misfarging sammenlignet med nabotenner.
Fig. 4
Fig. 5
Fig. 6
For å hindre kontaminasjon med ets og bonding, ble nabotenner isolert med teflonteip (fig 4). Emaljen ble behandlet med 37% fosforsyre, etterfulgt av universalbonding. Det ble applisert G-ænial Universal Injectable i putty-stenten som ble plassert på tannen (fig. 5 og 6). Distalt ble det benyttet en seksjonsmatrise på høykant for å oppnå riktig kurvatur på tannen.
Fig. 7
Fig. 8
Fig. 9
Fig. 10
Mesialt ble det benyttet en transparant strips for å oppnå en noe mer flat kontakt mot tann 21 (fig. 7). Etter palatinale, mesiale og distale vegger var bygget opp med GC Essentia Light Enamel (fig. 8), kunne tannens dentin restaureres med GC Essentia Medium Dentine. Nabotannens indre karakteristika ble forsøkt kopiert med dentinfar- gen (fig. 9). Restaureringen ble avsluttet med GC Essentia Light Enamel buccalt (fig.10). Siste lysherding ble utført etter applikasjon av glycerin-gel for å fjerne oksygenin- hibisjonslaget.
Fig. 11
Fig. 12
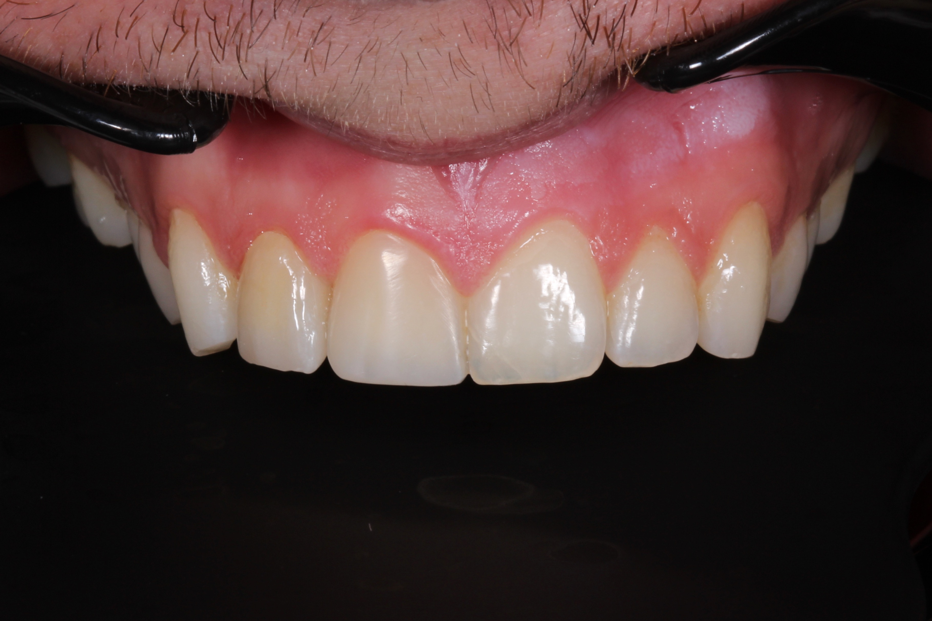
Grovpussing og makroanatomi ble utført med pussediamanter, grønn stein og Sof-lex skiver. Polering ble utført med Prisma Gloss og pussepasta med aluminiumoksid. Tann 12 ble behandlet med fiberstift og krone. Sluttresultat etter rehydrering (fig. 11 og 12)
3+1
Essentia Kapsler
Lysherdende radiopaque universalkompositt. Utmerket materiale for sjikt-teknikk. Unikt fargesystem med kun 7 farger som dekker alle kliniske indikasjoner.

 
     
     
     
    