Injectable Moulding for et forutsigbart estetisk resultat
Av Dr. Wuba Kassahun og CDT Samir Madrane
Diastema mediale er definert som et gap eller mellomrom større enn 0,5 mm mellom de proksimale overflatene til sentrale fortenner. (ref 1) Tilstedeværelse av diastema mellom fremre tenner kan for noen pasienter være en estetisk utfordring. Ulike behandlingsmetoder er tilgjengelige for lukking av diastema. Riktig valg av materiale og behandlingsmetode er av største betydning for en vellykket behandlingsresultat. (ref 2) En omfattende behandlingsplanlegging bør derfor inkludere bestemmelse av etiologiske faktorer, bløtvevs morfologi, okklusjon, pasientbehov og estetiske vurderinger for å oppnå tilfredsstillende utfall. Mulige alternativer er kjeveortopedisk behandling, protetiske løsning eller oppbygging med kompositt.
I denne kasusrapporten ble diastema-lukkingen utført med injection moulding technique ved hjelp av G-ænial Universal Injectable kompositten (GC). Denne typen behandling har flere fordeler; minimal invasiv tannbehandling (ingen tann preparering), ikke behov for bedøvelse, ikke flere tidkrevende besøk, forutsigbart sluttresultat og relativt rimeligere behandling for pasient sammenlignet med de andre alternativene.
En 30 år gammel mannlig pasient kom på konsultasjon fordi han var misfornøyd med utseendet på fortennene og ønsket å lukke mellomrommet mellom tennene i overkjeve front (figur 1 og 2). Det ble gjennomført en grundig klinisk og røntgenologisk undersøkelse. Pasienten hadde ingen behandlingstrengende karies og viste god periodontal helse. Han hadde en tykk gingival fenotype og en ganske symmetrisk gingival arkitektur. Klinisk undersøkelse viste redusert hørnetannsføring ved lateral bevegelser. Pasienten ønsket en lysere farge på tennene. I den første seansen ble det tatt digital avtrykk, kliniske bilder både intraoralt og ekstraoralt samt videoer for behandlingsplanlegging og fremstilling av mock-up.
Vita fargeskala (Vita classic A1 – D4, Vita Zahnfabrik) ble brukt til valg av farge i samråd med pasienten. Det ble valgt A1 og A2 for henholdsvis fortenner og hjørnetenner. Tannteknikker Samir Madrane fra Creadent var med på behandlingsplanleggingen og designet en mock-up av ønsket sluttresultat fra tann 15 til tann 25 som pasienten godkjente. Det blir 3D printet 2 mock-up modeller, en der annenhver tann i behandlingsplanen er bygget opp og en annen der de resterende tennene fra behandlingsplanen også er bygget opp. Basert på de 2 mock-upene ble det laget 2 gjennomsiktige silikon indekser med Exaclear (GC). Det er en veldig presis gjennomsiktig silikon materiale som muliggjør at all detalj og tekstur som lages i mock-upen blir gjengitt i sluttresultatet.
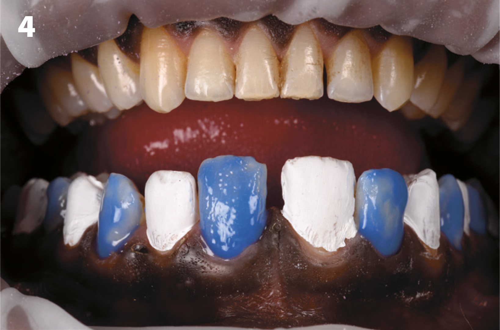
På den andre seansen ble Vivadent OptraGate (Ivoclar) brukt som leppe og skinn retraktor. Pusset tannoverflaten først med pimpstein for å fjerne overflate belegg og misfarging. Det ble isolering med teflonbånd for å beskytte nabotennene (figur 3). Videre selektiv emalje etsing med 37% fosforsyre (Ultradent), en tann om gangen, på tann 14, 12, 21, 23, og 25 (figur 4).
G-Premio BOND (GC) ble påført den etsede overflaten, luftblåsing deretter lysherding på annenhver tann. Silikon skinnen ble plassert og G-ænial Universal Injectable (A1) ble sprøytet inn gjennom ventilasjonshull og deretter lysherdet gjennom skinnen (figur 3 og 4). Det lages 2 ventilasjonshull incisalt i silikonindeks skinnen for å forhindre luftboble og danne utgang for overskudds materiale.
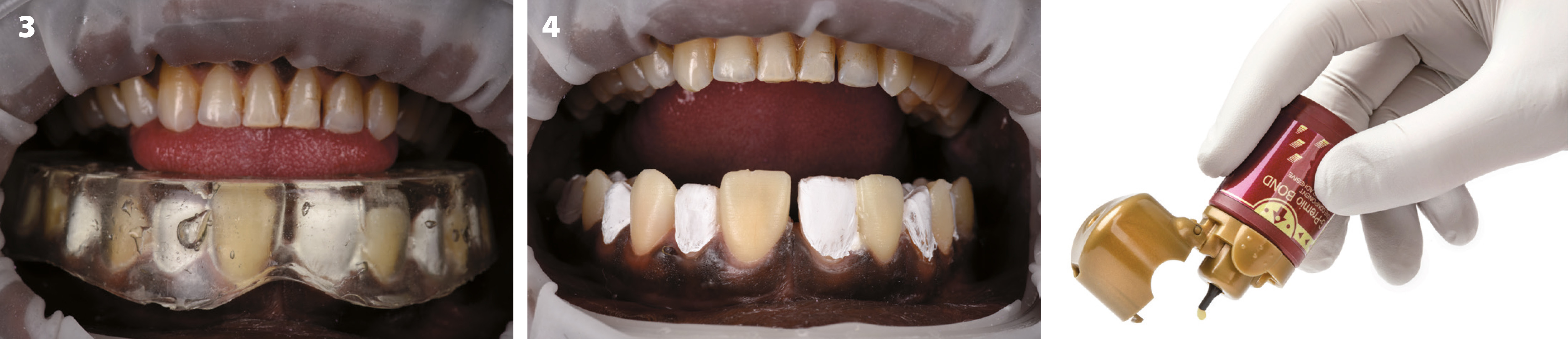
Etter fjerning av silikon skinnen ble kompositt overskudd fjernet. Deretter byttet man til silikon skinne nummer 2 og gjentok prosessen denne gangen på de resterende tennene i behandlingspla-nen; 15, 13, 11, 22 og 24 (figur 5). Deretter er det viktig med en grundig pussing og polering av alle involverte tenner. Pasienten skulle komme tilbake etter en uke for mer pussing og polering (figur 6).
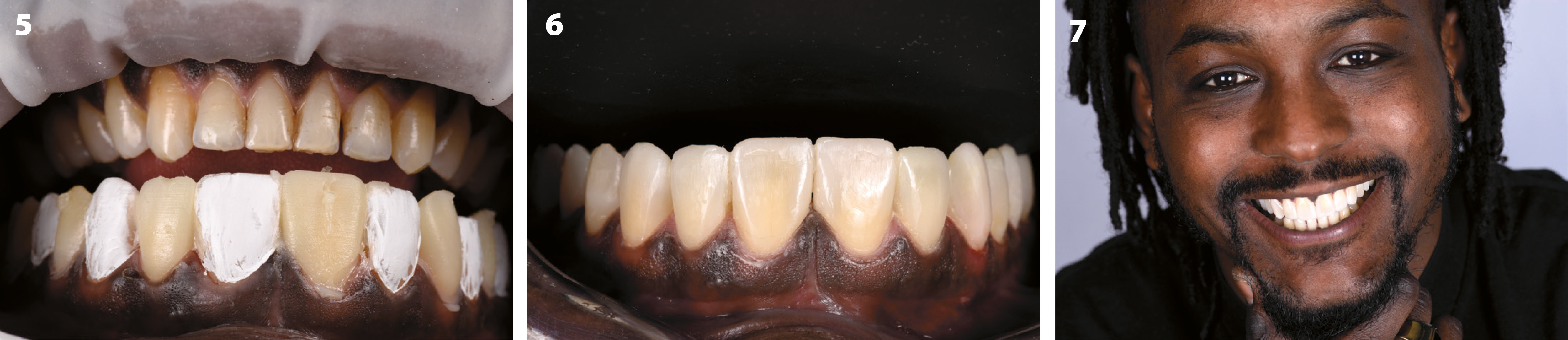
Den nye okklusjonen ble sjekket i både centric og eccentric posisjon ved hjelp av et artikulasjon papir. Ved hjelp av behandlingen ble hjørnetannsføringen gjenopprettet ved laterale bevegelser. En bittskinne anbefales å brukes på natten for å forhindre å slite ned oppbyggingen, spesielt på pasienter som gnisser tenner. Pasienten var veldig fornøyd med sluttresultatet og et godt funksjonelt og estetisk resultat ble oppnådd (figur 7).
Injectable moulding teknikken er en enkel metode for å oppnå et forutsigbart estetisk resultat.
Wuba Kassahun, MNTF
Eier, Eiksmarka Tannlegesenter. Tannhelse Uten Grenser, styreleder og grunnlegger.
Samir Madrane
Eier, Creadent AS
Autorisert tanntekniker & daglig leder. Tannhelse Uten Grenser, styremedlem og ansvarlig for tannteknikk/protetikk
Referanser:
1. Keene H. J. Distribution of diastemas in the dentition of man. American Journal of Physical Anthropology.
1963;21(4):437–441. doi: 10.1002/ajpa.1330210402.
2. Oquendo A, Brea L. David S. Diastema: correction of excessive spaces in the esthetic zone. Dent Clin North Am.
2011;55(2):265-81.
KAMPANJE
G-ÆNIAL UNIVERSAL INJECTABLE – 3+1
Universal kompositt med meget høy styrke for alle kavitetsklasser, både posteriort og aneteriort. Dekkende lag trengs ikke. Materialet har konsistens mellom heavy-flow og tradisjonell kondenserbar kompositt. Den er tiksotrop og kleber ikke til instrumentene, er enkel å applisere og har høy røntgenkontrast. Bøybare spisser letter tilgangen til alle kaviteter. God poleringsevne og holdbar glans.
