Et sammendrag av artikkel av Dr. Med. Dent. Markus Lenhard
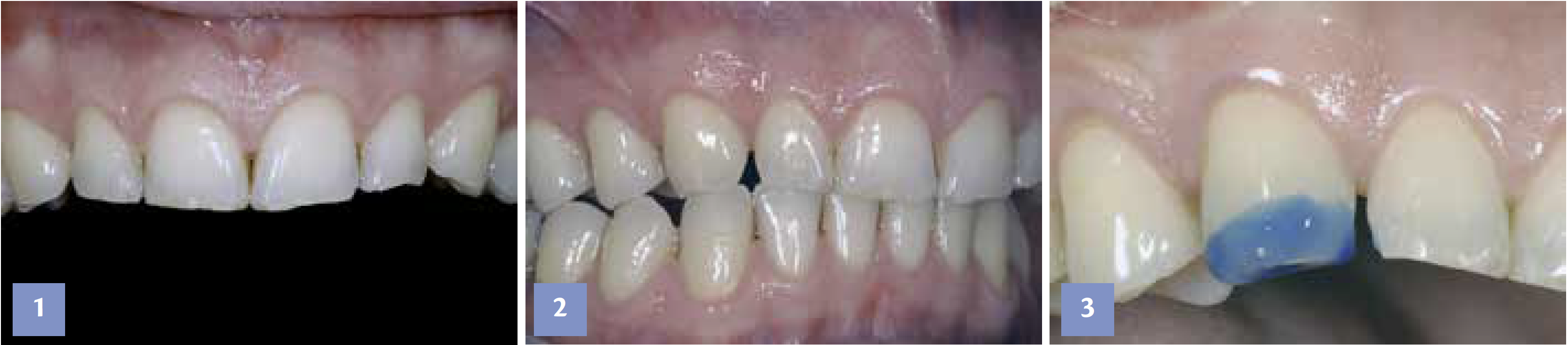
Fortennene i overkjeven har uttalte attrisjonsskader. Tap av tannsubstans pga. abrasjon i lateralsegmentene er minimal, så det er ikke nødvendig å gjøre noe med dette. Behandlingen begrenser seg da til å skape et funksjonelt bitt og en estetisk korreksjon av overkjevens front. Fargevalget ble gjort ved å bruke Brilliant EverGlow Shade Guide. Kompositten ble påført incisalkanten til en av sentralene og herdet uten bruk av ets og bonding. Denne teknikken gjør at man vurderer farge og translusens på en pålitelig måte. Det er viktig at tannen ikke tørkes ut, noe som vil gi endringer av tannens fargenyanse.I tillegg må kompositten herdes for å gi rett farge i ferdig restaurering. Duo Shade A3/D3 ble valgt i dette tilfellet. Etter fargevalget ble kompositten fjernet med en scaler.
Bilde 1. Preoperativt: Abrasjonsskader og flisete incisal-kanter på overkjeve fronttenner.
Bilde 2. Preoperativt vises tap av hjørnetannsføring på høyre side ved laterotrusjon slik at alle andre tenner også havner i okklusjon. Det samme bildet ser man på venstre side.
Bilde 3. Selektiv ets av emaljen i 30 sekunder med 35 % fosforsyre.
Først ble hjørnetennene på begge sider i overkjeven bygd opp for å gi hjørnetannsføring uten kontakt på andre tenner ved laterotrusjon. Selektiv ets ble valgt i 30 sekunder med 35 % fosforsyre (Bilde 3). Ett lag Brilliant EverGlow farge A3/D3 ble lagt. For å gjenskape god hjørnetannsføring er det vanligvis nok å bygge opp hjørnetennenes abrasjonflate i overkjeven (Bilde 4 og 5). Ved oppbygging av hjørnetennene ble det ikke brukt kofferdam. Det er viktig å ha mulighet til å kontrollere okklusjonen umiddelbart. Kofferdam ble så satt på før resten av incisivene skulle bygges opp for å sikre et tørt arbeidsfelt. Samtidig som oppbyggingen går lettere og raskere. Alle fortennene fra hjørnetann til hjørnetann isoleres. Kofferdammen festes til første premolar på begge sider med klammere over duken (Bilde 6).
Bilde 4. Etter oppbygging av hjørnetenner med ett lag Brilliant EverGlow A3/D3
Bilde 5. Gjenoppbygging av hjørnetennene i overkjeven resulterer i at alle andre tenner er ute av bitt ved hjørnetannsføring.
Bilde 6. Til oppbygging av flere fortenner bør man alltid isolere hele regionen med kofferdam.
Etter etsing og bonding ble incisivene kun bygget opp med Duo Shade A3/D3. For å unngå palatinalt overskudd, kan fingeren brukes som „matrise“ (Bilde 7 og 8). Kofferdamduken ble fjernet og komposittrestaureringene ble formet til og polert med Diatech Shape-Guard polerere. Til slutt ble laterotrusjonen sjekket igjen. Abrasjonsflatene på hjørnetennene i underkjeven bør senere bygges opp for å beskytte de nye restaureringene i overkjeven.
Bilde 9 viser resultatet umiddelbart etter oppbyggingen. Man kan tydelig se overgangen mellom tann og kompositt som fortsatt virker for translusent og mørk. Dette postoperative bildet er allikevel ønskelig fordi tannsubstansen tørkes ut under behandlingen og blir mer opak og lys. Etter ca. 1 time vil fuktigheten trenge tilbake i tannen som vil få igjen sin naturlige farge. Konklusjonen er at fyllingen skal virke for translusent og mørk umiddelbart postoperativt for at det skal bli en god estetisk restaurering.
Bilde 7. For å unngå palatinalt overskudd brukes fingeren som “matrise”. Siden det er brukt kun en farge er det ikke behov forseggjort lagdeling.
Bilde 8. Universal farge A3/D3 er utelukkende brukt til hele behandlingen.
Bilde 9. Umiddelbart postoperativt oppleves restaureringene mørkere og alt for translusent.
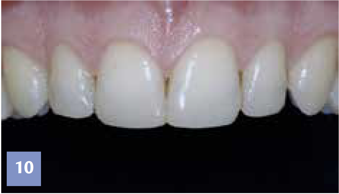
En uke senere var pasienten tilbake for kontroll av det estetiske resultatet (Bilde 10). Restaureringene viste en utmerket fargematch. Overgangen mellom tann og fylling var nesten usynlig selv ved forstørrelse. Erfaringen er at Brilliant EverGlow er en ekstremt brukervennlig kompositt som gir en god estetisk rehabilitering av overkjevens front ved bare å bruke én universalfarge. En mer nøyaktig lagdeling med opake og translusente farger vil også være mulig der man ønsker en mer spesifikk fortannskarakteristikk.
Bilde 10. En uke etter behandling vises en utmerket optisk integrasjon av restaureringen.
Les Dental Advisors test av BRILLIANT Everglow
